उत्तर प्रदेश औरैया जिला क्षय रोग विशेषज्ञ द्वारा क्षय रोग पीड़ितों की दी गई जानकारी किया गया जागरूक। ( पंकज सिंह राणावत की खास रिपोर्ट )


( औरैया जिला क्षय रोग विशेषज्ञ द्वारा क्षय रोग पीड़ितों की दी गई जानकारी किया गया जागरूक )
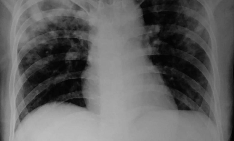
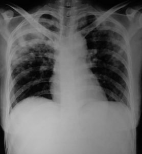
उत्तर प्रदेश औरैया जिला क्षय रोग अधिकारी डॉ. संत कुमार ने बताया कि फेफड़े की टीबी को पल्मोनरी और शरीर के अन्य हिस्से की टीबी को एक्स्ट्रा पल्मोनरी टीबी कहा जाता है। टीबी के मरीजों में करीब 70 फीसदी में पल्मोनरी और 30 फीसदी में एक्स्ट्रा पल्मोनरी टीबी होती है। एक्स्ट्रा पल्मोनरी टीबी से ग्रसित मरीजों से दूसरों को खतरा कम होता है, जबकि पल्मोनरी टीबी दूसरों को ज्यादा संक्रमित कर सकता है। एक्स्ट्रा पल्मोनरी टीबी जिसे होता है, उसे सूजन, दर्द, हल्का बुखार, रात में पसीना, भूख नहीं लगती है। डॉ.कुमार ने बताया कि एक्स्ट्रा पल्मोनरी टीबी पल्मोनरी टीबी के साथ भी हो सकती है। इस प्रकार की टीबी अधिकतर कमजोर प्रतिरोधक क्षमता वाले लोगों और छोटे बच्चों में अधिक पायी जाती है। एचआईवी से पीड़ित लोगों में, एक्स्ट्रा पल्मोनरी टीबी की संभावना अधिक होती है। एक्स्ट्रा पल्मोनरी टीबी को अंगों के हिसाब से नाम दिया गया है। मुख्यत: हड्डी, रीढ़ की हड्डी, आंत, गले की कंठमाला और फेफड़ों में पानी का उतर आना एक्स्ट्रा पल्मोनरी टीबी की श्रेणी में आते हैं।
जिला कार्यक्रम समन्वयक श्याम कुमार ने बताया कि वर्ष 2022 में जनवरी माह से नवम्बर माह तक 1657 लोगों में एक्स्ट्रा पल्मोनरी टीबी की पुष्टि हुई है ।
एक्स्ट्रा पल्मोनरी टीबी के लक्षण
1- यदि रोगी के लिम्फ ग्रंथि में टीबी के जीवाणु हैं तो रोगी की लिम्फ ग्रंथि फूल जाएगी और दर्द होगा।
2- हड्डियों और जोड़ों के क्षय रोग में, रोगी को उस स्थान पर तेज दर्द और सूजन हो जाती है।
3- मस्तिष्क टीबी में कई तरह के लक्षण होते हैं, जिसमें दोहरी दृष्टि, भ्रम शामिल हैं। रोगी को सिरदर्द की शिकायत भी हो सकती है।
4- पेट में टीबी होने पर मरीजों को दर्द और पाचन संबंधी समस्याओं का सामना करना पड़ता है।
5- जेनेटिक यूरिनरी टीबी में बार-बार पेशाब आना और पेशाब में दर्द जैसी समस्याएं होती हैं।
यह लक्षण दिखें तो कराएं जांच
जिला पीपीएम समन्वयक रविभान सिंह ने बताया कि दो सप्ताह या अधिक समय तक खांसी आना, खांसी के साथ बलगम आना, बलगम में कभी-कभी खून आना, सीने में दर्द होना, शाम को हल्का बुखार आना, वजन कम होना और भूख न लगना सामान्य लक्षण हैं। ऐसे लक्षण मिलने पर तत्काल जांच कराएं।

( पंकज सिंह राणावत की खास रिपोर्ट )
